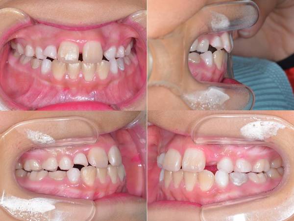
反対咬合を理由にかかりつけの歯科医院から紹介で御来院 Ⅰ期治療中

治療3か月で反対咬合は改善 お父様、とてもありがたいお言葉ありがとうございます!!! 装置を頑張って使ってくれるので、反対咬合はすぐに改善しましたね(^_^) これからも宜しくお願いします(^_^)
噛み合せが反対
反対咬合
9歳
一期治療 (ムーシールド)
非抜歯
約3ヶ月 (反対咬合改善まで)
約340、000円
こちらのページの下部に記載しております。
機能と審美 咬みあわせと歯並びのことなら熊本駅新幹線口徒歩1分
熊本の矯正専門医院 熊本駅前矯正歯科クリニックのトップページへ
成人矯正にかかる期間については、通常1年~2年半程度必要となります。
1年~2年半程度の治療期間で必要となる総治療費は以下の通りです。
歯が動きやすい方、動きにくい方など矯正治療についても個人差があります。主治医によくお話を聞いて納得されてから治療を開始しましょう。
●虫歯・歯肉炎矯正装置を歯に装着することで歯磨きに時間がかかります。歯磨きをおろそかにすると虫歯になるのは当然です。ご来院時のPMTCや普段の歯磨きがとても重要になります。
●歯根吸収矯正治療による歯の移動により歯の根っこが短くなる歯根吸収のリスクがあります。しかし、適正な矯正力による生じる小さな歯根吸収は無細胞セメントにより修復されます。過度な矯正力や歯根を大きく動かす移動は歯根吸収が起こりやすいといわれます。
●後戻り歯がきれいに並んで装置を外した後、そのまま放置した場合、元の歯並びに戻ることがあります。これを後戻りといいます。後戻りを防止するために保定装置というものが必要となります。
●治療中の痛みマルチブラケット矯正装置などを装着した日や、ワイヤーを交換した日は痛みをかんじることがありますが、通常、数日で収まります。また、冷たいものを飲んだときにしみる「知覚過敏」があらわれる場合がありますが、数日で改善されます。長期間痛みが続く場合は、矯正医に相談しましょう。
●金属アレルギー金属アレルギーの不安がある方は、あらかじめ相談しておいて方がよいでしょう。皮膚科などで行われているパッチテストが必要になることがあります。万が一、お口のなかに矯正装置を装着したあとに、皮膚や口腔粘膜にアレルギー症状が起きた場合は、すぐに矯正医と相談しましょう。
●歯肉退縮間違った歯磨き方法で歯茎が傷ついたり、歯周病などが原因で起こります。矯正治療でも歯を動かすことで、歯肉が下がる場合があります。特に切歯(せっし:上下前歯各4本)、歯の凸凹が大きい患者様の治療に起こる場合があります。非抜歯矯正などの無理な治療計画において歯肉退縮が起こりやすいです。