症例事例
あなたはどのタイプ?
What type are you?

  • でこぼこ・八重歯
  • 受け口
  • 開咬かいこう
  • 出っ歯
  • 過蓋咬合かがいうこう
  • 交叉咬合(こうさこうごう)正中のズレ
  • すきっ歯

でこぼこ・八重歯

●歯がでこぼこ
●食べ物が詰まりやすい
●歯磨きしづらい
●八重歯になっている
●笑ったときに犬歯が唇につかえる

これは“叢生(そうせい)”といわれます。歯を支えるアゴと歯の大きさのバランスがよくないことから みられる状態で、歯がでこぼこになったり、八重歯になったりします。普通に歯磨きをしていても、磨き残しが出やすいので、虫歯や歯肉炎を発症しやすくなります。歯周病を発症すると、年齢に関係なく歯を失う可能性があります。

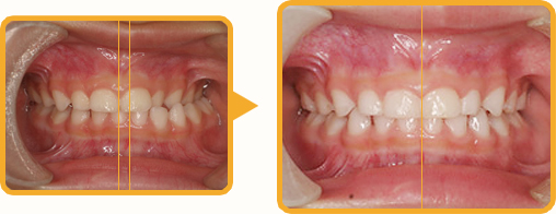
でこぼこ・八重歯1

主訴

前歯のでこぼこが気になる

診断名

叢生

年齢

16歳5ヶ月

使用した装置名

唇側マルチブラケット装置

抜歯/非抜歯および部位

上下両側第一小臼歯抜歯

治療期間

2年1ヶ月

費用の目安

76万円程度

リスク副作用

こちらのページの下部に記載しております。

受け口

●咬み合わせが逆。
●アゴがしゃくれてる。
●言葉が聞き取られにくい。
●うまく噛めない。

これは“反対咬合(はんたいこうごう)”で、一般的には受け口といわれます。 遺伝的な要因や生活環境、食生活などからこのような状態になります。早期に治療を始めることで、手術を回避できる可能性が高まります。早期に治療を始めることで、マルチブラケットを使用しないで治療できる可能性も高まります。
成長が終了して“反対咬合(はんたいこうごう)”が見られると、手術が必要になることもあります。 手術による負担はかかりますが、咬み合わせ、顔貌ともに改善されます。 手術の場合は健康保険の適用となります

受け口

主訴

前歯の逆噛みが気になる

診断名

前歯部反対咬合

年齢

9歳4ヶ月

使用した装置名

舌側弧線装置、上顎前方牽引装置

抜歯/非抜歯および部位

非抜歯

治療期間

6ヶ月(主訴改善に要した期間)、成長終了までの一期治療期間は6年程度

費用の目安

34万円程度(2期治療を行う場合は、70万程度。)

リスク副作用

こちらのページの下部に記載しております。

開咬(かいこう)

●口を閉じても、前歯で咬み合わせられない。
●前歯で物を噛み切れない。

これは“開咬(かいこう)”という状態です。 舌を前に突き出す癖や幼児期の指しゃぶりなどが原因でこのような状態になります。前歯が当たる前に奥歯が当たってしまうので、前歯でうまく噛むことができません。発音時に息がもれるので、発音も不明瞭となりやすいです。

開咬かいこう

主訴

前歯で噛めない

診断名

前歯部開咬

年齢

18歳8ヶ月

使用した装置名

唇側マルチブラケット装置

抜歯/非抜歯および部位

上下両側第一小臼歯抜歯

治療期間

2年5ヶ月

費用の目安

77万程度

リスク副作用

こちらのページの下部に記載しております。

出っ歯

●下の歯よりも上の歯が出ている。
●笑ったときに上の前歯が飛び出ている。
●唇が閉じづらいので、いつも口が開いている。
●唇を閉じるときに、下アゴに梅干し様のコブができる。

このような状態は“上顎前突(じょうがくぜんとつ)”です。 上アゴが前にでていたり、下アゴが後ろにさがっていたり、アゴの前後的に問題はなくても上の前歯が前に傾いていたり、そのバリエーションがいろいろあります。唇が閉じづらく、口で呼吸していることもよく見られます。 口の中が乾燥しやすいため、口の中の感染や炎症のリスクもあがります。 また、前歯をぶつけて折れたりするリスクもあがります。

出っ歯

主訴

上の前歯が出ている

診断名

上顎前突

年齢

9歳8ヶ月

使用した装置名

機能的矯正装置

抜歯/非抜歯および部位

非抜歯

治療期間

2年4ヶ月(主訴改善に要した期間)、成長終了までの一期治療期間は6年程度

費用の目安

36万程度(2期治療を行う場合は、70万程度。)

リスク副作用

こちらのページの下部に記載しております。

過蓋咬合(かがいうごう)

●“いーっ”とした時に、下の前歯がほとんど見えない。
●下の前歯が上の前歯の裏の歯茎を噛んで痛い。
●アゴが動かしにくい。口が開けられない。
●口を開けると耳の前で“ゴキッ”と音がする。

これは過蓋咬合(かがいこうごう)という状態です。 幼少時の虫歯による歯の早期喪失などが影響します。 上の前歯でアゴが後方に誘導されている可能性もあるので、 下アゴにストレスがかかり、顎関節症を発症するリスクが あがります。年を重ねていくと咬み合わせは深くなる傾向にあるので、 早めの対策が必要です

過蓋咬合かがいうごう

主訴

咬み合わせが深い

診断名

過蓋咬合

年齢

15歳9ヶ月

使用した装置名

唇側マルチブラケット装置

抜歯/非抜歯および部位

上顎両側第一小臼歯

治療期間

3年2ヶ月

費用の目安

81万円程度

リスク副作用

こちらのページの下部に記載しております。

交叉咬合正中のズレ

●咬み合わせた時に、上下の歯の真ん中がずれている。
●奥歯の咬み合わせが逆になっている。

これは交叉咬合(こうさこうごう)という状態です。 ほうっておくと、下アゴはどんどんずれていく可能性が高く、 成長期を過ぎると手術が必要になるケースです。 下アゴの動きにストレスがかかるので、アゴの痛み等を誘発 するリスクもあがります。このような症状が見られたら、できるだけ早く 治療しましょう。

交叉咬合正中のズレ

主訴

奥歯のかみ合わせが横にずれている

診断名

交叉咬合

年齢

3歳10ヶ月

使用した装置名

急速拡大装置

抜歯/非抜歯および部位

非抜歯

治療期間

2ヶ月(主訴改善に要した期間)

費用の目安

33万円程度

リスク副作用

こちらのページの下部に記載しております。

すきっ歯

●上の前歯の間に隙間があって、見た目が気になる。

これは空隙歯列(くうげきしれつ)または正中離開(せいちゅうりかい) といわれる状態です。アゴと歯のバランス、舌が歯を押し出す結果で 歯が前に傾斜、上唇小帯(じょうしんしょうたい)といわれるものが 下に降りていることによることなど、原因はいろいろ考えられます。 状況によっては、一時的なもので治療の必要のないものもあります。 気になられたら、ご相談をお勧めします。

すきっ歯

主訴

前歯の隙間が気になる

診断名

正中離開

年齢

22歳2ヶ月

使用した装置名

マルチブラケット装置(部分矯正)

抜歯/非抜歯および部位

非抜歯

治療期間

6ヶ月

費用の目安

20万円程度

リスク副作用

こちらのページの下部に記載しております。

※これらの治療に通常必要とされる一般的な治療内容について

歯の三次元的なコントロールが可能なマルチブラケット装置【セラミックやグラスファイバーを用いた透明または白色の各種審美(唇側)ブラケットやリンガル(舌側)ブラケット】を使用し、歯を移動させて歯並びを整えます。

※当院でマルチブラケット装置を使用して歯並びを整える場合の治療費について

成人矯正にかかる期間については、通常1年~2年半程度必要となります。
1年~2年半程度の治療期間で必要となる総治療費は以下の通りです。

●上下表からの矯正装置を用いて1年で動的治療が完了する場合、69万円程度
●上下表からの矯正装置を用いて2年で動的治療が完了する場合、75万円程度
●上の歯は裏側・下の歯は表側の矯正装置を用いて1年で動的治療が完了する場合、88万円程度
●上の歯は裏側・下の歯は表側の矯正装置を用いて2年で動的治療が完了する場合、94万円程度
●上下裏からの矯正装置を用いて1年で動的治療が完了する場合、100万円程度
●上下裏からの矯正装置を用いて2年で動的治療が完了する場合、106万円程度

※治療のリスクや副作用について

●個人差のリスク

歯が動きやすい方、動きにくい方など矯正治療についても個人差があります。主治医によくお話を聞いて納得されてから治療を開始しましょう。

●虫歯・歯肉炎

矯正装置を歯に装着することで歯磨きに時間がかかります。歯磨きをおろそかにすると虫歯になるのは当然です。ご来院時のPMTCや普段の歯磨きがとても重要になります。

●歯根吸収

矯正治療による歯の移動により歯の根っこが短くなる歯根吸収のリスクがあります。しかし、適正な矯正力による生じる小さな歯根吸収は無細胞セメントにより修復されます。過度な矯正力や歯根を大きく動かす移動は歯根吸収が起こりやすいといわれます。

●後戻り

歯がきれいに並んで装置を外した後、そのまま放置した場合、元の歯並びに戻ることがあります。これを後戻りといいます。後戻りを防止するために保定装置というものが必要となります。

●治療中の痛み

マルチブラケット矯正装置などを装着した日や、ワイヤーを交換した日は痛みをかんじることがありますが、通常、数日で収まります。また、冷たいものを飲んだときにしみる「知覚過敏」があらわれる場合がありますが、数日で改善されます。長期間痛みが続く場合は、矯正医に相談しましょう。

●金属アレルギー

金属アレルギーの不安がある方は、あらかじめ相談しておいて方がよいでしょう。皮膚科などで行われているパッチテストが必要になることがあります。万が一、お口のなかに矯正装置を装着したあとに、皮膚や口腔粘膜にアレルギー症状が起きた場合は、すぐに矯正医と相談しましょう。

●歯肉退縮

間違った歯磨き方法で歯茎が傷ついたり、歯周病などが原因で起こります。矯正治療でも歯を動かすことで、歯肉が下がる場合があります。特に切歯(せっし:上下前歯各4本)、歯の凸凹が大きい患者様の治療に起こる場合があります。非抜歯矯正などの無理な治療計画において歯肉退縮が起こりやすいです。

  • でこぼこ・八重歯
  • 受け口
  • 開咬かいこう
  • 出っ歯
  • 過蓋咬合かがいうこう
  • 交叉咬合(こうさこうごう)正中のズレ
  • すきっ歯
ページの先頭へ
TOPへ戻る